

I recently had the full-arch dental implant procedure done at Smith Dental, and I couldn't be happier with the results! From the initial consultation to the final follow-up, the entire experience was top-notch. Dr. Smith and his team were incredibly knowledgeable and caring throughout the process.
-John O.

"Great dentist 10/10 recommend. Admin staff is friendly and always on top of things. Med staff is quick and friendly. Dr. Suk does a great job and is personable. Only positive things to say about this team."
- Mckenzie H.



"Great dentist 10/10 recommend. Admin staff is friendly and always on top of things. Med staff is quick and friendly. Dr. Suk does a great job and is personable. Only positive things to say about this team."
- Mckenzie H.


Practically Invisible...
No one, not even you, will know they are there. A comfortable, short treatment time could give you a new smile in as little as six months! Clear aligners are affordable and practical.


FAST RESULTS
EASY TO CLEAN
EAT WHAT YOU WANT


Practically Invisible...
No one, not even you, will know they are there. A comfortable, short treatment time could give you a new smile in as little as six months! Clear aligners are affordable and practical.


FAST RESULTS
EASY TO CLEAN
EAT WHAT YOU WANT

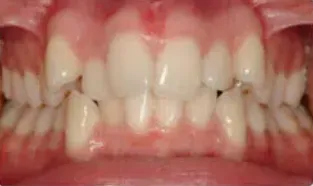
BEFORE.

AFTER.

At our dental practice, we prioritize comfort and excellent dental outcomes by providing personalized, high-quality care tailored to your needs. We combine this personal approach with state-of-the-art technology, affordable care, and easy scheduling, to give you a dental experience that you simply can't find elsewhere. You'll leave with a smile


Dr. Robert Kowal, born and raised in Michigan, earned his Doctor of Dental Surgery degree from the University of Detroit in 2004. Every year he works hard to advance his training and refine his skills by attending dental courses around the country. This comittment to keeping current with the latest advancements allows Dr. Kowal to tailor the best available treatment to your specific concerns. In addition to his passion for dentistry, he thoroughly enjoys outdoor activities, from hiking and fishing, to scuba diving and aviation. He loves spending time with his wife and four young children (2 boys and 2 girls), and together as a family, discovering everything the Northwest has to offer. Dr. Kowal’s philosophy is to treat each patient like a member of his own family. He prides himself on delivering personalized care with kindness and empathy, and will focus on you as a person, not just your teeth.
Having moved to Oregon as a toddler, Dr. Suk has always lived in East Portland. After graduating from OHSU School of Dentistry in 2003, she has practiced for over 20 years in the greater Portland metro area. She enjoys meeting new people, helping them achieve happy, healthy smiles, and loves working with her team. In her free time, she enjoys spending time with her husband and two daughters, reading, camping, exploring Oregon, and traveling.


Dr. Robert Kowal, born and raised in Michigan, earned his Doctor of Dental Surgery degree from the University of Detroit in 2004. Every year he works hard to advance his training and refine his skills by attending dental courses around the country. This comittment to keeping current with the latest advancements allows Dr. Kowal to tailor the best available treatment to your specific concerns. In addition to his passion for dentistry, he thoroughly enjoys outdoor activities, from hiking and fishing, to scuba diving and aviation. He loves spending time with his wife and four young children (2 boys and 2 girls), and together as a family, discovering everything the Northwest has to offer. Dr. Kowal’s philosophy is to treat each patient like a member of his own family. He prides himself on delivering personalized care with kindness and empathy, and will focus on you as a person, not just your teeth.

Having moved to Oregon as a toddler, Dr. Suk has always lived in East Portland. After graduating from OHSU School of Dentistry in 2003, she has practiced for over 20 years in the greater Portland metro area. She enjoys meeting new people, helping them achieve happy, healthy smiles, and loves working with her team. In her free time, she enjoys spending time with her husband and two daughters, reading, camping, exploring Oregon, and traveling.
Clear aligners work by gradually shifting teeth into their correct positions through a series of custom-made, removable trays that apply gentle pressure over time. Each set of aligners is typically worn for one to two weeks before progressing to the next set in the treatment plan.
To clean your clear aligners, rinse them with lukewarm water and gently brush them with a soft toothbrush using clear, non-abrasive soap. Avoid using toothpaste, which can scratch the aligners, and ensure they are cleaned daily to prevent bacteria buildup.
Treatment with clear aligners typically lasts between 6 to 18 months, depending on the complexity of the case and how consistently the aligners are worn as directed by your dentist or orthodontist.
The cost of clear aligners typically ranges depending on the complexity of the treatment. We offer flexible payment plans to make this option more affordable. Please schedule a consultation for a personalized estimate.
Clear aligners work by gradually shifting teeth into their correct positions through a series of custom-made, removable trays that apply gentle pressure over time. Each set of aligners is typically worn for one to two weeks before progressing to the next set in the treatment plan.
To clean your clear aligners, rinse them with lukewarm water and gently brush them with a soft toothbrush using clear, non-abrasive soap. Avoid using toothpaste, which can scratch the aligners, and ensure they are cleaned daily to prevent bacteria buildup.
Treatment with clear aligners typically lasts between 6 to 18 months, depending on the complexity of the case and how consistently the aligners are worn as directed by your dentist or orthodontist.
The cost of clear aligners typically ranges depending on the complexity of the treatment. We offer flexible payment plans to make this option more affordable. Please schedule a consultation for a personalized estimate.
